肥胡醫聊|腦為何無端生瘤?能否免開顱切除?神經外科醫生麥凱鈞拆解顱底內窺鏡經眶手術:眼側小切口直達深處腫瘤

【點新聞報道】談到「腦腫瘤」與「開顱手術」,人人談之色變。尤其是傳統開顱療法還將面臨恢復期長、創面大、易感染的術後風險,讓許多腦瘤患者與家屬憂心忡忡。腦瘤早期有哪些臨床症狀?多為惡性腫瘤還是良性腫瘤?腦瘤一定要「開顱」嗎?點新聞醫療健康資訊節目《肥胡醫聊》本期邀請到神經外科醫生、香港中文大學外科系名譽臨床副教授麥凱鈞醫生,帶來最新的腦瘤微創療法——顱底內窺鏡經眶手術(Transorbital Endoscopic Surgery, TONES)。

麥凱鈞醫生是香港首位推動及應用此技術的神經外科醫生,只需在眼外側開小切口,並在眼眶內放進極微小的內窺鏡,就可以處理傳統開顱手術難以觸及的深處腫瘤或血管病變,讓微創腦瘤手術不再是空談。

《肥胡醫聊》本期邀請到神經外科醫生麥凱鈞教授,帶來最新的腦瘤微創療法——顱底內窺鏡經眶手術(TONES),他是香港首位推動及應用此技術的神經外科醫生。(點新聞記者攝)

什麼是腦腫瘤?

大腦作為人體神經系統的中樞器官,其結構與功能極為複雜。為何腦部會產生腫瘤?麥凱鈞醫生解釋,大腦與身體其他器官一樣,在發生異常病變後,可能形成不正常的組織,其中一類即為腫瘤。

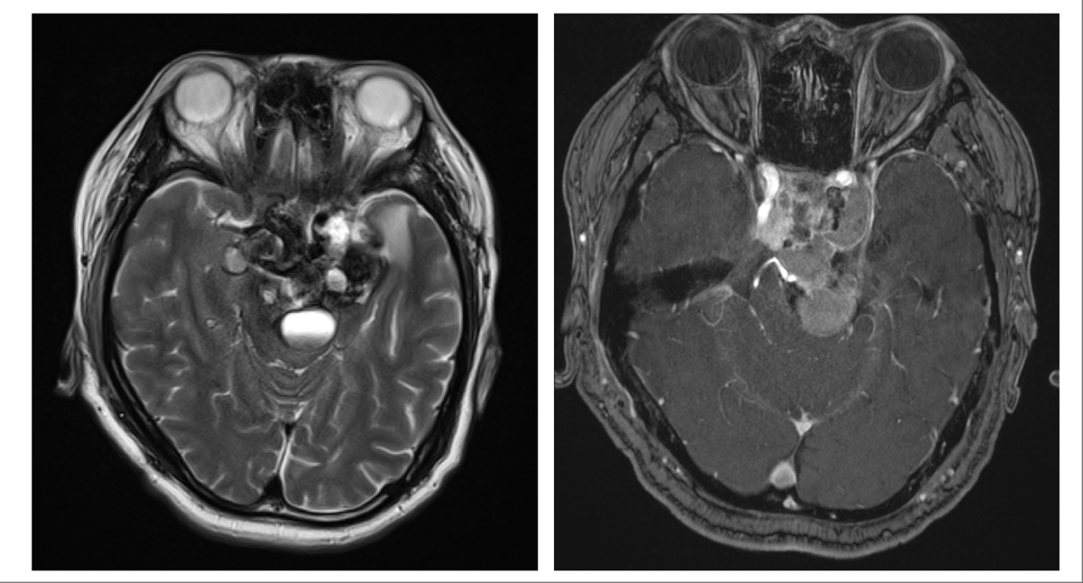
腦幹腫瘤。(受訪者供圖)

腦腫瘤又名「顱內腫瘤」,由頭顱內的細胞不正常生長引起,可分為「良性」或「惡性」。值得留意的是,與其他器官相比,腦瘤的整體發病率相對較低,且約85%為良性腫瘤,預後相對樂觀。良性腫瘤一般生長較慢、具有完整包膜而具並不會入侵組織,以腦膜瘤、腦下垂體瘤最為常見;惡性腫瘤一般生長迅速,沒有完整外膜和明顯邊界,會侵蝕到組織或轉移到其他器官。

腦腫瘤是由頭顱內的細胞不正常生長引起,可分為「良性」或「惡性」。(資料圖片)

其中,惡性腦瘤亦可分為轉移性與原發性兩大類,轉移性腦腫瘤(metastasis)由發生在身體其他部位(如鼻咽癌、乳癌和肺癌等)的原發癌轉移或擴散至腦部;原發性惡性腦腫瘤,是指腫瘤在原本的位置不斷生長和增大,雖然在所有惡性腫瘤中只約佔1-2%,但情況較不樂觀,死亡率亦高,其中接近80%為膠質瘤(glioma),源自腦部星形細胞等膠質細胞的變異。其中,第四級的「膠質母細胞瘤(Glioblastoma, GBM)」惡性度最高、生長迅速且復發率高,常見於40歲以上人士,患者存活期通常僅有9至15個月。腫瘤的發生位置、患者基因背景及家族病史均可能影響發病風險。

腦瘤會出現哪些症狀?何時應警覺並就醫?

麥凱鈞醫生指出,腦瘤的臨床表現可分為「局部性症狀」與「廣泛性症狀」兩大類。

局部性症狀與大腦的區域功能有關。大腦掌管視覺、聽覺、語言及四肢活動等眾多神經功能,若腫瘤生長於特定區域,壓迫或侵蝕相應神經結構,便會引發對應的功能障礙。例如:視覺區域受影響可能出現視物模糊、重影;聽覺區域受影響可能突發失聰;運動或感覺區域受影響可能出現單側肢體無力、偏癱或半身麻木;語言區域受影響則可能導致言語不清。

廣泛性症狀則主要與顱內壓升高相關。由於顱腔容積固定,腫瘤佔據空間,若體積過大或造成腦積水,使腦脊液異常積聚,便會導致顱內壓上升。其典型表徵包括:頭痛、噴射式嘔吐、因眼底水腫引起的視力模糊,嚴重時甚至可致昏迷。出現上述情況,應立即就醫檢查。

腦瘤本身並不會造成頭痛,頭痛往往是因為腦瘤造成顱內壓升高、或侵犯到腦膜、血管等。 (資料圖片)

顱底內窺鏡經眶手術 病人眼眶傷口僅4mm

許多患者對「開顱手術」心存恐懼。傳統開顱需切開、掀開部分顱骨,術後再行縫合,傷口較大且創傷性高。近年,腦瘤治療領域出現了先進的微創神經外科技術——「顱底內窺鏡經眶手術」(TONES)。

麥凱鈞醫生介紹,顱底(Skull Base)是頭顱骨的底部,結構極為複雜且緊密,是腦部與頸部連結的樞紐。此區域包含視神經、三叉神經、面部神經等重要神經,以及頸內動脈、頸靜脈等主要血管,通過多個孔洞穿梭,管控面部感覺、咀嚼、表情及腦部血液供應。若腫瘤位於顱底,可經由眼眶外側路徑,放入直徑僅4毫米的內窺鏡——約為小拇指指甲蓋的三分之一大小。該路徑不經過眼球,而是通過眼眶骨與眼球外側之間的天然空隙深入頭顱底,處理傳統開顱手術難以觸及的深處腫瘤或血管病變。麥醫生會聯同眼科醫生,將眼眶骨稍作磨平,形成一個外觀不可見的數毫米空隙,再將內窺鏡置入。

顱底內窺鏡經眶手術適用顱底範圍。(受訪者供圖)

至於如何確保內窺鏡手術的準確性?麥凱鈞強調三個關鍵:第一,使用先進的影像設備,如高清或4K內窺鏡,可清晰顯示顱內結構,實現「看着螢幕做手術」;第二,術中採用導航系統,猶如內窺鏡的GPS,實時定位器械路徑;第三,正在發展的超聲波輔助儀器,進一步提升手術的精準度與安全性。

新微創手術有賴技術與科技的結合

通過眼眶如此微小的切口進行顱內操作,如何確保不損傷周圍的重要血管與神經?麥凱鈞醫生指出,這有賴於「技術與科技的結合」。

在科技層面,內窺鏡導航系統可配合非置入式手術儀器,手術團隊能根據眼窩弧度,將可彎曲的器械經由眼眶置入目標區域。在技術層面,由於術中可操作空間極為狹窄,對醫生的精細操控能力要求極高。麥醫生解釋:「傳統開顱手術固然提供較寬敞的操作視野,但我們追求的是微創——關鍵在於促進患者康復,同時避免打開頭骨。」他亦坦言,某些顱底病灶即使開顱也難以直達,因此引入新器械或新術式前,必須經過嚴格的專業培訓與模擬練習。

麥凱鈞醫生曾為一名顱底惡性肉瘤(直徑五公分)患者施行切除手術。(受訪者提供)

成功定位腫瘤後,如何在狹小的顱內空間將其取出?麥凱鈞表示,對於良性腫瘤,可先使其體積縮小再行摘除;對於惡性腫瘤,則需完整切除以降低局部復發或擴散風險。切除後的腫瘤標本,可經由鼻腔或口腔取出。

顱底內窺鏡經眶手術優勢

顱底內窺鏡經眶手術(TONES)為適合的腦瘤患者帶來了明顯優勢,麥凱鈞醫生歸納為三點:第一,創傷小、恢復快。患者術後一般1至2日即可出院,而傳統開顱手術則通常需要住院5日左右。第二,手術路徑更直接。相比開顱手術,經眼眶路徑能更直接地抵達腫瘤根部,有助於徹底切除病灶,同時加快患者康復進程。第三,避免外觀改變與腦組織損傷。傳統開顱手術需長時間牽拉腦組織,可能造成腦部輕微損傷及術後肌肉萎縮、局部凹陷。經眼眶手術則無需牽拉腦組織,亦不影響外觀。

然而,麥醫生強調,該手術並非適用於所有腦瘤患者,主要取決於腫瘤位置。若腫瘤位於後腦勺或頭骨表層,僅需小切口即可切除,無須經由眼眶路徑。

此外,顱底內窺鏡經眶手術還可用於術前診斷。麥凱鈞舉例說明,部分患者的顱底腫瘤位置狹窄,直徑僅約1厘米甚至數毫米,常規核磁共振(MRI)難以清晰顯示,此時需要提取腫瘤組織進行病理化驗。應用經眼眶手術後,團隊無需開顱,即可直接經眼眶精準取樣。他分享:「我有幾位患者通過這種方式取得組織,結果出乎意料——可以通過藥物等非手術方式治療。這對患者而言無疑是更好的選擇,因為無需再承受第二次手術。」

麥凱鈞醫生全港首本跨專科顱底病變著作。(受訪者提供)

顱底內鏡經眶手術收費如何?

對於患者擔憂此類高精度微創手術的費用問題,麥凱鈞醫生指,若在公立醫院,隨着新醫療改革收費系統的推行,凡符合資格的香港居民均可獲手術費用豁免,僅需繳付住院費用。

若在私家醫院進行手術,收費主要取決於兩項因素:一是手術的複雜程度。顱底內窺鏡經眶手術屬於最高複雜級別的手術,其收費水平與開顱切除複雜腦瘤的手術相近。二是參與手術的醫生團隊規模。若多於一位醫生共同操刀,收費會相應調整。麥醫生表示,他經常與眼科醫生協同處理此類手術,因為「始終經由眼眶操作,安全至上。術前及術後有眼科醫生的護理,對病人而言無論是舒適度還是安心,都會明顯更好。」

如何防大腦生瘤?

都市生活中,面對高強度工作與高壓環境,如何降低腦瘤發生風險?哪些早期症狀值得警惕?麥凱鈞醫生建議:保持充足休息、均衡飲食、規律作息及適度運動。但他強調:「最重要的,是察覺身體發出的異常訊號,有病就要及早醫治。」

他進一步解釋,部分早期症狀起初並不明顯。例如三叉神經受影響時,可能僅表現為面部持續麻痺,尤其是眼周區域。若未及時就醫,待腫瘤逐漸增大,壓迫到視神經等其他結構,影響日常生活甚至出現視力障礙時才求診,往往為時已晚。因此,早期發現、早期干預至關重要。

麥凱鈞醫生建議多休息、均衡飲食、規律作息、適度運動。(點新聞記者攝)

頭痛是否屬於腦瘤症狀?

許多人日常都會出現頭痛,這是否意味着可能罹患腦瘤?麥凱鈞醫生指出,需要區分一般性頭痛與偏頭痛。由顱內壓升高所引起的頭痛,典型表現為全頭部脹痛,程度劇烈,常伴隨噁心甚至噴射式嘔吐。這類頭痛是顱內壓增高的典型症狀,需高度警惕。

相比之下,常見的偏頭痛通常不伴有嘔吐,疼痛多局限於單側頭部,與腦瘤無直接關聯。偏頭痛的成因多與神經緊張、壓力甚至家族遺傳有關,女性發病率相對較高。

腦瘤是否會遺傳?

麥凱鈞醫生解釋,腦瘤本身遺傳的概率較低,但遺傳機制並非腫瘤本身直接傳給下一代,而是導致腫瘤發生的基因突變可能具有遺傳性。換言之,若父母攜帶某些與腦瘤相關的致病基因突變,下一代有較高風險罹患腦瘤。

醫患溝通與技術展望

對於每一位前來求診的腦瘤患者,麥凱鈞醫生表示,首要任務是詳細講解病情,並告知患者不同的治療選項。他指出,顱底內窺鏡經眶手術只是其中一種方法,還有其他治療方案。因此,必須與患者講清楚不同療法的優缺點,隨後向病人講解手術的過程,「有時我會在磁力共振片,或者在一些模型上顯示給他看,告訴他這個手術是怎樣的。」

他亦提到,得益於網絡資訊發達,患者常自行搜尋病情資料,甚至查閱醫生發表的醫學論文。「很簡單,我寫幾個關鍵詞給他,他去網上查詢,自己就會找到相關資訊。」然而,面對網絡資訊良莠不齊、偽科學可能誤導患者的問題,麥醫生表示:「病人會與我溝通的,如果他覺得有疑問,自然會提出來,我們便一起討論。這是一個雙向、公開、坦誠的對話,而這一切建立在良好的醫患關係之上。」

被問及首次施行此項手術時的心情,麥凱鈞坦言:「當日就鎮定啲,早一日就忐忑啲。真正操作時並無特別緊張,因為作為神經外科醫生,更需要專注與冷靜。遇到突發情況,關鍵在於思考下一步如何處理。而且術前我們已制定多套預案——計劃A、計劃B,若不行還有後備方案C。」

關於顱底內窺鏡經眶手術的未來發展,麥醫生指出,內窺鏡本質上是帶有攝像頭的細管,經由小切口進入人體,可輔助醫生即時、清晰地觀察顱內腫瘤狀況。理論上,整個腦部的大部分區域均可利用內窺鏡進行手術。他相信,未來還可經由耳後、頸部等部位插入內窺鏡,進一步拓展微創手術的應用範圍。

(點新聞記者留心、鄔茜報道,視頻拍攝:任青、鄔茜;視頻製作:鄔茜)

相關閱讀:

肥胡醫聊|如何提高記憶力?腦外科專家方道生:大腦保養靠健康作息 禁濫用藥!|嘉賓主持:胡定旭

肥胡醫聊|腦外科專家方道生解密中風:「四字口訣」自查 「三劍客」避而遠之

收藏收藏
取消收藏取消收藏

肥胡醫聊|腦為何無端生瘤?能否免開顱切除?神經外科醫生麥凱鈞拆解顱底內窺鏡經眶手術:眼側小切口直達深處腫瘤

收藏收藏
取消收藏取消收藏